Le retrait des appareils orthodontiques

Le retrait des bagues orthodontiques est généralement une étape simple et sans douleur du traitement. Voici comment cela se déroule généralement :
-
L'orthodontiste commencera par enlever les anneaux élastiques qui entourent chaque support des bagues. Ces anneaux élastiques sont utilisés pour maintenir le fil de l'arche en place.
-
En utilisant des pinces spéciales, l'orthodontiste retirera délicatement le fil de l'arche de chaque support. Ce processus se fait un support à la fois.
-
Une fois que le fil de l'arche est retiré, l'orthodontiste utilisera des pinces ou des instruments similaires pour desserrer et retirer doucement chaque support de la surface avant de vos dents. Cela peut impliquer un léger mouvement de bascule pour desserrer le support.
-
Après le retrait des supports, l'orthodontiste utilisera une fraise dentaire à grande vitesse pour polir et nettoyer vos dents. Cela permet d'éliminer tout résidu de ciment dentaire qui pourrait rester sur les dents.
Une fois que vos bagues ont été retirées, votre orthodontiste vous guidera sur les prochaines étapes, notamment l'hygiène bucco-dentaire appropriée et le port éventuel d'une contention. La contention est souvent recommandée pour maintenir vos dents dans leur nouvelle position et prévenir les mouvements indésirables.
Enfin, votre orthodontiste peut prendre une photo de votre nouveau sourire pour que vous puissiez comparer vos anciennes dents avec votre résultat final et apprécier les bénéfices du traitement.
Il est important de suivre les instructions de votre orthodontiste après le retrait des bagues pour assurer la stabilité et la santé à long terme de votre sourire.
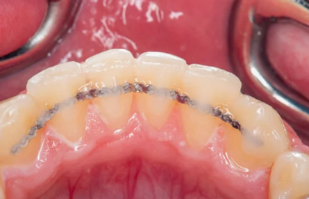
Les contentions orthodontiques
Après la dépose de votre traitement orthodontique, votre orthodontiste peut vous recommander de porter une contention pour maintenir vos dents alignées. Il existe deux types courants de contentions :
-
Contentions fixes : Ces contentions consistent en des fils métalliques minces et discrets qui sont collés à l'arrière de vos dents, généralement derrière les dents du bas et/ou du haut. Ces fils sont fabriqués sur mesure pour s'adapter à la forme de vos dents. Ils sont conçus pour être permanents, c'est-à-dire qu'ils sont collés en place et ne peuvent pas être enlevés par vous-même. Les contentions fixes offrent une stabilité supplémentaire en maintenant vos dents dans leur nouvelle position. Elles sont généralement confortables et ne causent pas de gêne.
-
Dispositifs de type gouttière : Ces appareils de contention ressemblent aux gouttières de traitement orthodontique transparentes telles que les aligneurs Invisalign. Ils sont fabriqués sur mesure à partir d'un moule de vos dents nouvellement alignées. Les dispositifs de contention en gouttière peuvent couvrir toute la voûte dentaire ou être limités à une partie spécifique de votre arcade dentaire, selon les besoins. Ils sont généralement amovibles, ce qui signifie que vous pouvez les enlever pour manger, boire et vous brosser les dents. Cependant, il est important de suivre les instructions de votre orthodontiste sur la durée et la fréquence de port de la contention pour assurer son efficacité.
La durée pendant laquelle vous devrez porter une contention dépendra de la recommandation de votre orthodontiste. Dans certains cas, une contention peut être nécessaire à vie pour maintenir les résultats du traitement à long terme.
Il est essentiel de suivre attentivement les instructions de votre orthodontiste concernant le port et l'entretien de votre contention. Cela garantira que vos dents restent bien alignées et que votre nouveau sourire reste stable et esthétique. N'oubliez pas de consulter régulièrement votre orthodontiste pour des visites de suivi et pour vous assurer que votre contention est en bon état et fonctionne correctement.









